La maladie du foie gras : un symptôme de la société de consommation ?
Notamment causée par la consommation répétée de soda, la maladie du foie gras a des conséquences long terme très graves.

En cause de la malade, la consommation de fructose est particulièrement problématique.
La maladie du foie gras, un diagnostic récent
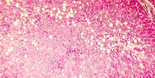
A force d’aliments mauvais pour le foie, on obtient des problèmes hépatiques, c’est la conclusion à laquelle des médecins sont arrivés. C’est en 1980 que sont décrites les premières formes de stéatoses hépatiques non alcooliques par le professeur Ludwig de la Mayo Clinic. Quelques vingt patients présentent des atteintes tissulaires hépatiques de la même nature que celles généralement retrouvées chez des patients alcooliques. Problème : ces patients n’ont jamais consommé d’alcool !
Les biopsies pratiquées révélèrent des stades plus ou moins avancés de détérioration allant de « simples » dépôts de graisse à des fibroses et des nécroses. Trois échantillons mettent en évidence le stade ultime de la cirrhose, un état inflammatoire pouvant dégénérer en cancer. La plupart des patients présentent des troubles métaboliques associés à une obésité (diabète insulino-dépendant notamment).
La maladie du foie gras : diagnostic et traitement
Depuis, les recherches sur la NASH pour Non Alcoholic SteatoHepatosis, plus connue du grand public sous le nom de maladie du foie gras, ou encore maladie du soda, ont révélé que cette pathologie était intimement liée à la consommation en excès de produits très sucrés, sur un terme assez long, notamment sous forme de boissons.
En effet, le sucre, notamment le fructose, un dérivé du saccharose que l’on retrouve naturellement dans les fruits, mais massivement utilisé dans l’industrie agro-alimentaire, peut être métabolisé en graisse dans le foie. Quand l’apport en fructose dépasse les besoins de l’organisme, le foie stocke celui-ci. Au stade avancé de la maladie, on peut sentir à la palpation une hépatomégalie : le volume du foie a augmenté. L’échographie est un moyen simple et non invasif de mettre en évidence l’inflammation hépatique, suite par exemple à une douleur d’origine inconnue. Le foie présente un aspect brillant, dit « hyperéchogène ».
Prévenir et soigner la maladie du foie gras
Le traitement de la NASH repose essentiellement sur des mesures diététiques : supprimer les sources de sucres ajoutés, notamment de fructose, suivre un régime à IG bas etc. Ces conseils peuvent s’accompagner de la pratique d’une activité physique (marche, natation…) compatible avec l’état du patient. Pour les personnes diabétiques, il est crucial de stabiliser le diabète. Dans tous les cas, l’avis d’un spécialiste est obligatoire.
Côté prévention, les éléments donnés comme base de traitement s’appliquent également. L’obésité et l’hyperlipémie étant les causes les plus fréquentes du développement de la NASH, il est important de maintenir un poids de santé et d’éviter au maximum les plats ultratransformés. Adopter un régime type méditerranéen est un bon moyen de se mettre à l’abri de la NASH.
Le régime nash contre la maladie du foie gras
Le régime méditerranéen en pratique :
- des céréales entières et des légumineuses
- de l’huile d’olive
- peu de viande et de poisson, et de bonne qualité
- des fruits oléagineux
- des légumes de saison colorés
- des fruits de saison frais
- des produits laitiers en favorisant ceux issus de petits mammifères ; chèvre, brebis.
- des herbes et des épices.
Illustration bannière : Maladie du foie gras – © Billion Photos
A lire absolument

































