Du dentifrice à la fluorose : le fluor dans tous ses états
Composant quasi incontournable des dentifrices, le fluor fait partie de notre vie quotidienne. Mais quel est vraiment le rôle de cet oligoélément ? D’où vient-il ? Est-il bénéfique ou nocif ? Comment en prendre assez mais pas trop ? Comment est-il traité par les politiques de santé ? Tour d’horizon.

Présent naturellement dans la croute terrestre, le fluor est bien connu pour son action sur la santé dentaire : il renforce l’émail des dents et participe à la prévention des caries… Mais un surdosage répété peut s’avérer dangereux. On fait le point.
Qu’est-ce que le fluor ?
Le fluor est le 13e élément le plus répandu de l’écorce terrestre. En moyenne, un kilo de roches contient 600 à 700 mg de fluor. Il est essentiellement présent dans la nature sous forme de fluorures, combiné à d’autres éléments, les minerais les plus répandus étant la fluorine (fluorure de calcium) et la fluoroapatite (phosphate de calcium fluoré). Il existe ainsi de nombreux gisements de fluorine dans le monde, notamment dans les roches granitiques, les roches sédimentaires et les filons ; la fluoroapatite, en partie d’origine biologique (squelettes des vertébrés) se retrouvant principalement dans les roches sédimentaires phosphoreuses.
Dissous par l’eau au contact des roches, le fluor est donc aussi naturellement présent dans les eaux souterraines. Les concentrations mesurées sont généralement faibles (moins de 1 mg/l) mais certaines eaux peuvent présenter des teneurs très élevées en raison de la nature géologique des terrains qu’elles traversent. Il existe ainsi dans le monde certaines zones géographiques où les eaux sont naturellement riches en fluor, notamment en Chine, en Inde, dans les pays du nord et de l’est de l’Afrique, mais aussi au Mexique, au Chili, en Argentine, aux États-Unis ou au Japon.
Les activités humaines, industrielles essentiellement, sont également à l’origine de rejets fluorés. C’est le cas de la sidérurgie, des industries du verre, de l’aluminium ou de la céramique, de l’industrie nucléaire ou chimique (téflon), de la fabrication de semi-conducteurs, ou encore de certains intrants agricoles comme les pesticides.
Le fluor ingéré par la population provient principalement de l’eau du robinet (avec une limite légale de 1,5 mg/l en France), des eaux minérales (jusqu’à 5 mg/l), de certains aliments comme les poissons et les crustacés, le thé ou le sel de table (éventuellement enrichi en fluor), et des produits d’hygiène dentaire comme le dentifrice.

La réglementation française fixe pour le fluor une limite de qualité de 1,5 mg/l à ne pas dépasser dans les eaux destinées à la consommation humaine – © gotphotos
Lire aussi : Quels sont les aliments bons pour les dents ?
Quel rôle bénéfique pour le fluor ?
Le fluor compte parmi les oligoéléments essentiels de l’organisme. Lié au calcium et au phosphate sous forme de cristaux appelés fluoroapatites, c’est l’un des constituants majeurs des os, des dents et du cartilage.
Il contribue ainsi à la solidité du squelette et à la prévention des caries dentaires en renforçant l’émail.
Déposé régulièrement sur les dents, le fluor s’intègre en effet superficiellement à l’émail et augmente sa résistance aux attaques acides des bactéries responsables des caries. Il limite la déminéralisation de l’émail survenant après les repas et facilite sa reminéralisation. Il a également un effet antibactérien en inhibant l’action des bactéries cariogènes.
Le fluor peut agir de manière « systémique », via l’ingestion de gouttes ou de comprimés ou l’ajout de fluor dans l’eau potable, lorsque les dents sont en formation (jusqu’à l’âge de 12 ans) ou de manière « topique », c’est-à-dire locale (via le dentifrice), tout au long de la vie.
Dans les années 1930, des chercheurs ont réalisé que les personnes qui buvaient de l’eau du robinet naturellement riche en fluor avaient beaucoup moins de caries que les personnes vivant dans les régions où l’eau ne contient pas de fluor.
Depuis, de nombreuses études scientifiques ont confirmé que le fluor avait des effets à la fois préventifs et thérapeutiques contre les caries.
Pour l’OMS (Organisation mondiale de la Santé), le fluor est ainsi un outil incontournable de prévention de la carie dentaire, et le dentifrice fluoré est considéré comme un médicament essentiel.
L’UFSBD (Union française pour la santé bucco-dentaire) s’inquiète d’ailleurs de la multiplication des dentifrices sans fluor sur le marché, qu’elle considère comme « une perte de chance pour la santé bucco-dentaire », rappelant que l’incorporation de fluor dans les dentifrices a permis de réduire de façon considérable la prévalence des caries dans le monde.

Le fluor pour une bonne santé bucco-dentaire – © Rawpixel.com
Comment le fluor peut être nocif ?
À l’inverse, des apports quotidiens excessifs de fluor peuvent entraîner des risques pour la santé. Ils sont en effet susceptibles de provoquer des fluoroses, dont les effets peuvent aller du simple désagrément esthétique (taches blanches ou brunes sur les dents) chez les enfants à des maladies incapacitantes graves (fluoroses osseuses déformantes ou paralysantes) chez les adultes.
Les scientifiques estiment qu’une fluorose osseuse peut intervenir pour une dose quotidienne de fluor de 10 mg ou plus pendant au moins 10 ans. La forme la plus sévère, dite « fluorose osseuse invalidante », peut se traduire par une calcification des ligaments, l’immobilité, une perte musculaire et des problèmes neurologiques.
On rencontre ces maladies essentiellement dans les zones géographiques où la teneur naturelle de l’eau potable en fluorures est particulièrement élevée et où le réseau de distribution d’eau ne dispose pas des infrastructures et des traitements adéquats pour réduire cette teneur.
Il existe ainsi dans le monde des régions de fluorose endémique. Une trentaine de pays répartis à travers les cinq continents sont concernés. Par exemple, selon l’OMS, 26 millions de Chinois sont sujets à une fluorose dentaire en raison de la forte teneur de l’eau de boisson en fluor.
En France, le risque de fluorose dentaire demeure faible – elle concernerait seulement 2 % des enfants. Cependant, la multiplication des sources potentielles de fluor (eau, aliments, médicaments, etc.) peut conduire à des surdosages.
Une bonne maîtrise des apports fluorés est par conséquent indispensable, en particulier chez les nourrissons et les enfants de moins de 12 ans, qui sont en phase de minéralisation des dents.

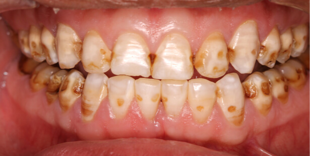
Un cas de fluorose – © RUSTIM MOOSA
Fluor – Comment en prendre ni trop, ni trop peu ?
Pour prévenir les carences et les excès en fluor, des apports nutritionnels conseillés en fluor et des limites de sécurité selon l’âge ont été fixés par l’Anses, l’Agence nationale de sécurité sanitaire des aliments, en se fondant sur la littérature scientifique. Les apports conseillés vont de 0,1 mg/jour pour les enfants de moins de 6 mois, à 2 mg/jour pour les femmes adultes et 2,5 mg/jour pour les hommes adultes.
Quant aux limites de sécurité (toujours en mg/jour), elles sont de 0,4 pour les enfants de moins de 6 mois, à 4 mg/jour à partir de 9 ans.
Une bonne connaissance de la composition en fluorures des eaux consommées est par conséquent nécessaire pour suppléer les éventuelles carences ou éviter les intoxications potentielles : l’OMS considère que les concentrations dans l’eau de moins de 0,5 mg/l traduisent un manque de fluor pour la prévention des caries dentaires.
Un apport complémentaire peut alors être conseillé chez l’enfant, sur avis d’un professionnel de santé et après la réalisation d’un bilan personnalisé des apports fluorés. Des concentrations comprises entre 0,5 et 1,5 mg/l constituent des doses permettant d’assurer un effet protecteur : aucune supplémentation fluorée n’est alors nécessaire. À partir de 1,5 mg/l, le risque de fluorose dentaire peut apparaître et au-delà de 3 mg/l, la fluorose osseuse est susceptible de se produire à long terme.
Comment est-il traité par les politiques de santé publique ?
Selon l’OMS, les programmes de santé publique doivent « chercher à réduire au maximum les caries tout en minimisant les risques de fluorose ». Il s’agit donc de mettre en oeuvre les moyens les plus appropriés pour maintenir un niveau faible mais constant de fluorures chez autant de personnes que possible – en ayant recours à l’eau de boisson, au sel, au lait, aux dentifrices ou aux médicaments fluorés… Tout en évitant l’apport excessif de fluorures, en particulier dans les zones géographiques où l’eau est naturellement riche en cet élément. Un véritable enjeu de santé publique, relevant des autorités politiques et administratives des pays.
Selon l’OMS, plus de 500 millions de personnes dans le monde utilisent ainsi des dentifrices fluorés, près de 210 millions ont accès à une eau fluorée et quelque 40 millions à du sel fluoré.
D’autres formes d’applications de fluorures (bains de bouche, comprimés/gouttes) sont administrées à près de 60 millions de personnes. En revanche, les populations de nombreux pays en développement n’ont pas accès aux fluorures pour la prévention de la carie dentaire, pour des raisons à la fois pratiques et économiques.

La dose journalière de fluor est limitée à 0,25 mg pour un enfant de 6 à 12 mois – © jukkrit disto
Lire aussi : Nourrissons : pas de fluor avant l’âge de six mois
En France, on considère que la mesure la plus efficace de prévention des caries est un brossage des dents au minimum biquotidien avec un dentifrice fluoré dont la teneur en fluor est adaptée à l’âge. Et compte tenu de la diversité des apports en fluor, toute prescription de médicaments fluorés doit être précédée d’un bilan personnalisé des apports journaliers.
La réglementation française fixe pour le fluor une limite de qualité de 1,5 mg/l à ne pas dépasser dans les eaux destinées à la consommation humaine. Un contrôle sanitaire régulier des teneurs en fluor est réalisé dans les eaux brutes et à la sortie des installations de production. La fluoration de l’eau est autorisée, mais peu pratiquée depuis les années 1980.
Cette démarche est par contre largement utilisée aux États-Unis : environ les deux tiers des Américains reçoivent de l’eau artificiellement fluorée. À l’inverse, dans certains États des USA, où la teneur en fluor des eaux souterraines est trop élevée, c’est la « défluoration » qui s’impose. Car en cas de teneur excessive des eaux en fluor, les conséquences dépendent de la pertinence des protocoles et des moyens d’assainissement des eaux développés par les États.
Une synthèse bibliographique réalisée à l’IRD (Institut de recherche pour le développement) a montré qu’une grande proportion de pays connaissent à titre local (Angleterre, France, Italie) ou de façon plus générale (USA) des cas de concentration en fluor supérieure à la norme OMS de 1,5 mg/l dans les eaux souterraines.
Peu de problèmes de fluorose endémique sont cependant rapportés pour ces pays, grâce à la qualité du réseau de distribution d’eau, lequel intègre les infrastructures et les traitements adéquats (défluoration). Les services des eaux des pays développés réduisent ainsi les niveaux de fluorure à des niveaux maximums réglementés. Ce qui n’est pas toujours le cas de certaines zones du monde, notamment en Chine, en Inde, au Moyen-Orient, en Asie du sud-est, dans l’est et le nord de l’Afrique, ou encore au Mexique…
Illustration bannière : Se brosser une habitude à prendre dès le plus jeune âge – © victoriyasmail
A lire absolument































