Le danger de l’exposition aux pesticides
De nombreuses études épidémiologiques montrent sans ambiguïté que l’exposition aux pesticides augmente notablement le risque de survenue de cancers, de troubles de la reproduction et de maladies neuro-dégénératives.
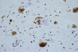
L’INSERM a ainsi confirmé le 16 juin 2009 que l’exposition aux pesticides double le risque de maladie de Parkinson chez les agriculteurs.
- Pesticides = double dose de Parkinson
Cancers et pesticides
Ce risque de Parkinson augmente avec la durée d’exposition et principalement aux insecticides, notamment de type organochloré.

L’étude de l’Inserm montre que les agriculteurs exposés aux pesticides présentent des troubles chromosomiques pouvant entraîner le développement d’un lymphome ou d’un cancer du système immunitaire.
Pesticides : rappel
La France est le 1er pays européen pour l’utilisation de pesticides
avec 78 000 tonnes de produits phytosanitaires répandus dans les champs.
Dans le cordon ombilical d’un nouveau-né, on trouve 200 substances
toxiques en moyenne. Un professeur du CHU de Montpellier a trouvé 300 substances polluantes dans le sang du cordon ombilical de 30 bébés.
A lire absolument
































Intéressant à compléter avec l’article de mutuelle-news. fr « Pesticides et cancer un lien possible ! », qui parle de la dangerosité des pesticides dans notre quotidien.. à lire absolument !
Pour poursuivre mon témoignage sur les pesticides, j’ai omis de préciser que maintenant je suis diagnotiquée aussi maladie coeliaque (sans gluten)donc les intestins sont touchés, cerveau et puis quoi après, la nourriture qu’on avale et c eque l’on respire , voila les résultats et j’aimerai bien qu’on se penche davantage sur le « cervau de nos intestins »
Malade depuis plus de 13 ans j’avoue avoir été en contact deux fois dans la nature de façon otage quand un hilicoptère a déversé ses pesticides tous près de moi en 1988, j’ai eu des allergies , une dépression, quelques annees plus tard, un choc émotionnelet un choc accidentel en l’espace de 2 jours, re dépression et tremblement dans les 15 jours. je sais que tout est lié, et maintenat je me rends compte que la nourriture elle-m^me à une insidence, les grands médecins me l’ont confirmé.Je sens que je peux effectivemet avor une certaine forme d’aller mieux mais c’est tellement compliqué après 13 ans de maladie et des ralentisssmets, blocages, douleurs articulaires étant tellement importantesm que entreprednre devient très fastidieux. Et tout les médecins ne sont pas convaincus qu’il faut rechercher plus simple, à la base. Le coté physchologique n’est pas le seul élément, car la neuro-transmission rompue l’a bien été par le choc accidentel, mais je reconnais qe ce choc acccidentel est survenu par suite de la fatigue du choc émotionnel auquel on n’a pas voulu voir de lien. Dommage. car on perdu du temps pour nous. j’avais 43 ans, le temps file et mon autonomie je désire la conserver, alors je me bats, et je me battrai pour les autres. Mais les pesticides je crois que effectivement sont le point de départ de mes ennuis. car c’est la première question en 1997 que le neurologue a soulevé., car j’habite à la campagne . erci de votre article.
La frange matérialiste et rationaliste dotée donc de visières réductionnistes point ici encore un facteur certes sans doute aggravant (les pesticides) lorsque cette maladie apparait chez les agriculteurs. Si une proportion (soyons gentil) de près de 100 % des personnes qui ont été en contact fréquent et soutenu avec des pesticides contractaient la maladie de Parkinson, alors on pourrait établir un vrai lien de cause à effet.
C’est encore persister à ignorer la piste psychologique et qui est INCONTOURNABLE dans la survenance, notamment de cette maladie.
Le célèbre professeur Henri LABORIT qui avait écrit un célèbre livre « Inhibition de l’action » (Editions Masson Paris & Presses Universitaires de Montréal, 1980) expose la théorie psychosomatique
« (…) pour faire une infection ou une affection néoplasique [Ndlr :cancer], il ne suffit pas d’un contact avec un microbe ou un virus ou un irritant local chroniquement subi.
On a trop focalisé sur le microbe, le virus ou le toxique cancérogène et pas assez sur le sujet, sur son histoire passée et présente, ses rapports avec son environnement.
Les toxiques eux-mêmes doivent sans doute présenter une toxicité variable suivant le contexte et le statut social de l’individu qu’ils atteignent. (…)
Nous sommes les autres, c’est-à-dire que nous sommes devenus avec le temps ce que les autres – nos parents, les membres de notre famille, nos éducateurs – ont fait de nous, consciemment ou non.
Nous sommes donc toujours influencés, le plus souvent à notre insu, par les divers systèmes dont nous faisons partie. »
Tout ce qui peut être diagnostiqué comme symptômes divers ou comme facteurs matériels possibles ne constitue que la face visible de l’iceberg ; c’est bien à l’image de cette médecine résolument et dogmatiquement symptomatique qui ne s’occupe de ce qui est en AVAL, alors qu’il faut ici aussi considérer ce qui est en AMONT.
C’est comme un jeu de dominos : il ne servira à rien à moyen terme de ne s’occuper que des manifestations en queue de liste car il faut s’occuper de ce qui a été à l’origine réelle des maux. La plupart des scientifiques modernes sont maintenant d’accord pour dire que l’origine des maladies est dans le stress oxydant ou oxydatif.
Mise à part les (coûteuses) pistes comportementaliste et allopathique mais qui ne résolvent rien en profondeur, est très efficace la piste (réellement) psychothérapeutique dans ce qu’elle intègre les neurosciences cognitives ou psychobiologie (qui font partie des sciences de la psychologie officielle).
En témoigne cette personne qui a livré en conférence le témoignage de son auto-guérison de la maladie de Parkinson grâce à ce type de psychothérapie :
« Diagnostiquée parkinsonienne, on la déclare condamnée. Elle ne se résigne pas et décide de se tourner vers des thérapies alternatives pour ne pas rentrer dans « l’engrenage de la chimie » et ne pas être rangée dans « le camp des malades » : « je me suis mise résolument du côté de la vie ! » déclare-t-elle au psychothérapeute qui l’accompagnera vers son autoguérison. Au vu des surprenantes analyses médicales qui en attestent, un médecin abasourdi écrit « l’hypothétique parkinson » »
Source : http://www.retrouversonnord.be/belva.htm
A méditer :
« Des études cliniques, effectuées sur des malades dont on a pu établir tous les antécédents biographiques, ont montré l’existence d’un rapport chronologique entre l’évolution de leur maladie et les événements retentissant sur leur vie affective. La situation qui précipite le sujet dans la maladie revêt pour ce malade une signification affective particulière, parce qu’elle est liée à son passé ou à une problématique conflictuelle non résolue. C’est en raison de ces liens qu’elle a pour lui un effet de stress. »
(A. BECACHE– Psychologie Pathologique, p. 219 – Abrégés Masson).
« C’est la médecine tout entière qui doit s’ouvrir à la psychologie et devenir psychosomatique. Ou pour mieux dire, avec WEISS et ENGLISH : « Toute maladie relève à la fois de l’esprit et du corps et toute thérapeutique est, de ce fait, de la médecine psychosomatique. Lorsqu’on en sera dûment persuadé, le terme psychosomatique pourra disparaître, les données qu’il traduit étant désormais impliquées dans le terme médecine ». Mais pour cela il faut que tous les médecins et psychiatres soient authentiquement formés à la psychologie et aient renoncé au préjugé organiciste. » Marc-Alain Descamps (1992). Corps et psyché, p16.
Il me semble important de préciser que les pesticides organochlorés sont interdits en France. L’étude ne concerne donc pas les pesticides actuels.